Parodontologia e Igiene Orale

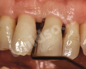
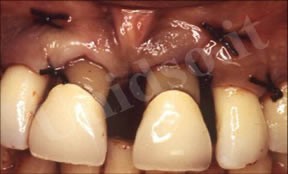
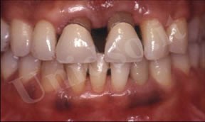
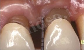
L’ Unità Operativa di Parodontologia e Igiene Orale si compone di 5 sezioni. L’attività’ clinico-assistenziale è svolta da diversi odontoiatri, supportata da igienisti dentali e assistenti alla poltrona, ed è articolata sulla base di appuntamenti programmati. Nell’Unità Operativa di Paradontologia e Igiene Orale del DSMOB si eseguono le seguenti prestazioni odontoiatriche: istruzioni d’igiene orale, ablazione tartaro, full radiografico, terapia dell’alitosi, levigatura radicolare, chirurgia parodontale riparativa, resettiva e rigenerativa e chirurgia plastica dei tessuti molli parodontali.